以下、論文紹介と解説です。
Layden JE, et al. Pulmonary Illness Related to E-Cigarette Use in Illinois and Wisconsin — Preliminary Report. New England Journal of Medicine 2019.
2019年7月、ウィスコンシン州とイリノイ州で、電子タバコ使用に関連する肺疾患の報告を受け、調査が行われた。
背景
■ 電子タバコは、液体を加熱してエアロゾル化された生成物を使用者にもたらす電池式の装置である。
■ 電子タバコ使用に関連する肺疾患が報告されているが、大規模な症例シリーズ研究は行われていない。
■ 2019年7月、ウィスコンシン州保健サービス局とイリノイ州公衆衛生局は、電子タバコ(vapingとも呼ばれる)の使用に関連する肺疾患の報告を受け、公衆衛生調査を開始した。
方法
■ 症例は、症状発現の90日以内に電子タバコ機器や関連製品の使用を報告しており、画像に肺浸潤があり、その病態が他の原因に起因していないと定義された。
■ 医療記録のまとめと患者面接は、標準化されたツールを使用して実施された。
結果
■ 患者53人のうち83%が男性だった。
■ 患者の年齢の中央値は19歳だった。
■ 患者の大多数は呼吸器症状(98%)、胃腸症状(81%)、全身症状(100%)を呈していた。
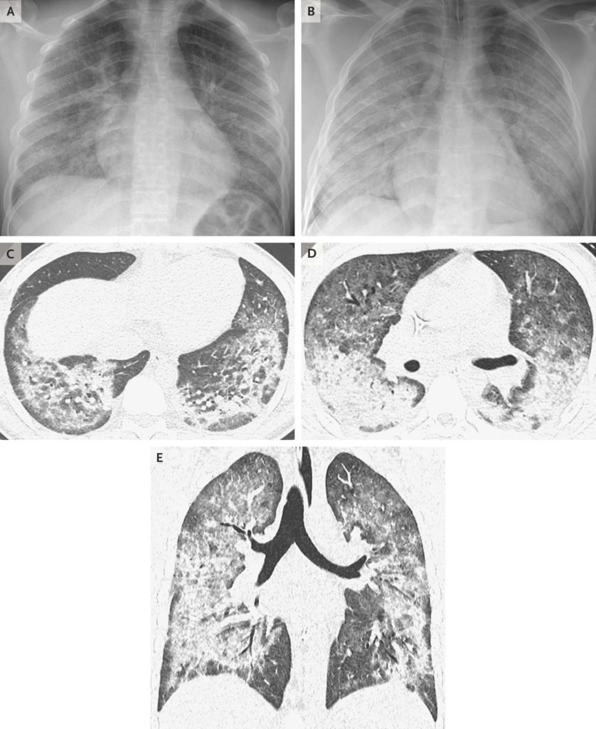
■ すべての患者は、胸部画像検査(症例定義の一部)において、両側に浸潤を認めた。
論文より引用。17歳の症例の肺画像写真。
■ 94%が入院し、32%が挿管と人工呼吸が実施され、1人の死亡が報告された。
■ 84%が、電子タバコデバイスによりテトラヒドロカンナビノール製品を使用したことを報告したが、多種多様な製品およびデバイスが報告されました。
■ イリノイ州の症候性調査データは、2019年の6月から8月の重症呼吸器疾患に関連する月間受診率が、2018年の同月に観察された率の平均2倍であることを示した。
論文より引用。イリノイ州での重症呼吸器疾患による受診数の急上昇。
結論
■ 症例は、類似した臨床的特徴を呈した。
■ 障害の原因となった電子タバコの使用の特徴は確認されていないが、この疾患群は新たな臨床症候群を表している。
■ 病態生理を特徴づけ、決定的な原因を特定するには、さらなる研究が必要である。
スポンサーリンク(記事は下に続きます)
今後、電子タバコに対する争点になりそうな研究です。

■ 電子タバコには非加熱式と加熱式があります。
■ 日本で販売されているのは加熱式になり、非加熱式においてはニコチンが含有されているものは販売できないことになっています。
■ ですので、この報告は、日本で一般的に使用されている「加熱式電子タバコ」ではなくリキッドを吸入するデバイスが中心になっています(最も多いデバイス名が”Dank Vape”)。
■ ただ、7人は加熱式電子タバコを使用していたとも記載されていました。
■ 電子タバコに関する争点になる報告のように思います。
今日のまとめ!
✅ 電子タバコによると思われる、急性肺障害の症例シリーズ研究が発表された。












