

■ Henoch-Schonlein紫斑病(もしくはアレルギー性紫斑病など様々の病名があります)が「IgA紫斑病」に病名が統一されてから随分経ちます。
■ 個人的にはいまだこのIgA紫斑病という病名に慣れないのですが、今回はIgA紫斑病に腸管気腫を合併した症例報告をご紹介致します。
■ 随分前になりますが、IgA紫斑病で随分改善した退院後の診察で、患者さんの活気は出てきていたのですが腹痛は残っていて、診察室をでるときの足取りがどうしても気になってCTをしていただいたことがあります。結果、大きめの血腫が見つかって、再度安静にしていただきました。
■ この症例報告を読んで、そのことを思い出しました。
結局、何を知りたい?
✅IgA紫斑病に関する稀な合併症を報告しようとしている。
■ 症例は2歳女児。
■ 紫斑に続発した5日間の腹痛が持続していたが、尿検査、血液一般、腎機能は正常だった。
■ 当初は腹痛は注目されていなかったが、腹部超音波検査により、腹水と小腸ループの肥厚が見つかった。
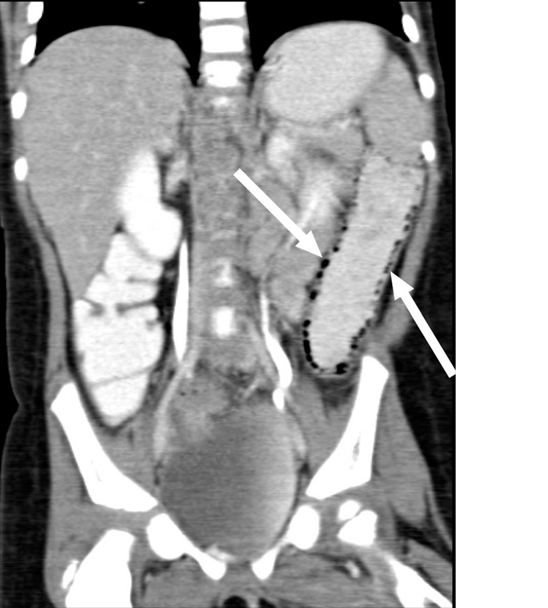
■ Henoch-Schonlein紫斑病(IgA紫斑病)と診断され、入院のうえプレドニゾロン(1mg/kg)が投与されたが、腹痛が悪化したため腹部CTが施行され、遠位小腸壁肥厚と、下行結腸の腸壁気腫が認められた。
論文から引用。下行結腸に気腫が認められる。
■ 血小板を含む血液一般、プロトロンビン時間、部分的トロンボプラスチン時間、フィブリノゲン、アンチトロンビンⅢ、プロテインC活性、プロテインS活性、抗カルジオリピン抗体、第V因子Leiden genotyped、プロトロンビンmutation genotyped、抑制因子スクリーニング、第VIII因子を含む詳細な血液検査はすべて正常だった。
■ 過剰ホモシスチン血症遺伝子型はMTHFR C677Tアレルがヘテロだったが、血清ホモシステイン・レベルは正常下限だった(2mmol/l)。
■ 完全静脈栄養と抗生物質(バンコマイシンとピペラシリン/タゾバクタム)により腸管安静、IVIg 2mg/kgにより加療された。
■ 腹痛は翌週にかけて徐々に改善し、小腸壁肥厚と腸管気腫も回復した。そして最終的に紫斑と腹痛も軽快した。
結局、何がわかった?
✅IgA紫斑病に腸管気腫が合併する可能性があることがわかった。
■ 腸管気腫はまれで、症状も多様で様々な疾患と関連しています。
■ しかし、深刻な転機をとる可能性があるので、腸管気腫は血管性紫斑病のありえる合併症と捉える必要があるとされていました。
■ とはいえ、こういった”まれな”合併症は医師を悩ませるものです。
■ 最近みた医療テレビドラマの中で、「可能性はゼロじゃない」という主人公医師の発言があり、極めてまれな症例報告を専門医師に突きつけ、最終的に検査をして乳がんが見つかった、というストーリーがありました。
■ こういったケースは本当に稀と思います。もしこのような症例報告を全て真正面から受け止めて全例にCTを行ってしまうと、”CTの被曝が多くなることによるガンの発生の増加”というパラドックスが生まれます。
■ 稀な合併症の知識を持つようには努めたいですし、論文も多種多様に発表されています。しかし、こういうコモンな疾患における稀な症例報告に対応することは、現実的には決して簡単ではないとも感じます。
今日のまとめ
✅IgA紫斑病には、腸管気腫が合併し得る。











